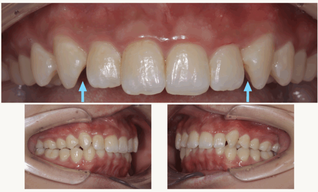
とがって、斜めにはえてることですきっ歯で攻撃的に見える八重歯を歯を削らずに治療しました✨
-
-

Before
-

After
-
-
症例情報
症状 「とがって口撃的に見える八重歯のすきっ歯を治したい。」 年齢・性別 26歳・男性 治療期間 2週間(来院は2回) 治療方法 ダイレクトボンディング(白い樹脂) 費用 ダイレクトボンディング5.5万円×2 デメリット・注意点 ダイレクトボンディングの着色のため、10年後位にやり直しの可能性がある。 -
とがって、斜めにはえてることですきっ歯で攻撃的に見える八重歯を歯を削らずに治療しました。

八重歯のすきっ歯治療前

前から3番目の歯がとがっていて、さらに少し斜めにはえていることですきっ歯で、攻撃的なイメージに見える歯でした。
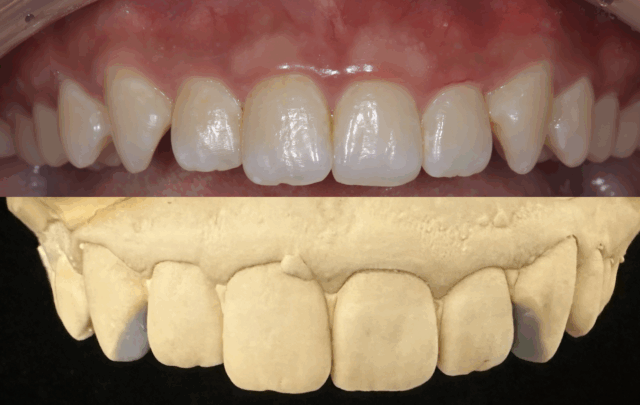
八重歯のすきっ歯治療のシミュレーション

匠の技工士による治療のシミュレーションを行いました。
今回は歯を削らずにダイレクトボンディングで治療することにしました。
八重歯のすきっ歯治療の流れ

すきっ歯治療をするとどうなるのかシミュレーションを見ていただいて、その後に治療しますので安心してすきっ歯治療ができます。
八重歯のすきっ歯治療のBefore After

歯を削らずにとがった八重歯の形を修正してすきっ歯も治しました。
トータルビューティーなら本町ノーブル歯科矯正歯科!! 芸能人、アナウンサー、インフルエンサーもお忍びでご来院しています。
すきっ歯の治し方は主に3つあります。

①矯正治療

歯を削ることなく、噛み合わせを良くしたり、Eラインを整えたりする事もできます。期間はかかりますがマウスピース矯正で6〜9ヶ月ほどで治せる事もあります。上記症例
治療期間 7ヶ月 治療方法 マウスピース矯正(インビザライン) 費用 インビザライン ノーマルプラン88万円 保定装置4.4万円 デメリット・注意点 慣れるまで1ヶ月ほど発音しにくいです。 矯正中装置が擦れることによって口内炎になることがあります 。歯根吸収、歯肉退縮を起こす可能性があります 。歯が移動することで違和感や痛みを感じる場合があります(ワイヤー矯正より小さいです)。 ②ダイレクトボンディング(セラミック入りの硬化樹脂)

こちらも歯を削る事なく、2〜3回で治療が終わります。比較的安価に治療できます。上記症例
治療期間 2週間(来院は2回) 治療方法 ダイレクトボンディング(白い樹脂) 費用 ダイレクトボンディング5.5万円×4 デメリット・注意点 ダイレクトボンディングの着色のため、10年後位にやり直しの可能性がある。 ③ラミネートベニア(セラミック)

少し歯を削る必要がありますが歯の色や形も変える事ができ綺麗に仕上がります。
すきっ歯は状態によって治し方は様々。どの方法が最適か是非ご相談下さい✨
上記症例
治療期間 2ヶ月 治療方法 ラミネートベニア 費用 11万円 デメリット・注意点 硬過ぎる物(氷、ナッツ類)を食べるとセラミックが割れる可能性があります。 予約ページ
マウスピース矯正でのすきっ歯治療はコチラ
広範囲のすきっ歯を歯を削らずにダイレクトボンディングで治療
ドイツからすきっ歯治療 『削らないラミネートベニア』で治療しました!
監修者情報

谷口 貴一 本町ノーブル歯科 矯正歯科 院長
2013年に大阪歯科大学を卒業後、兵庫県の医療法人の矯正・小児歯科クリニックと大阪歯科大学口腔インプラント科で臨床研修修了。その後1年間大阪歯科大学口腔インプラント科病院員勤務。翌年、大阪市内の医療法人にて8年間勤務。2022年7月より本町ノーブル歯科 矯正歯科開業。
保有資格
・ 美容師免許
・ 日本顎咬合学会認定医
・ インビザラインドクター年間130日以上学会やスタディーグループに参加し、現在は若手の歯科医師を自身のスタディーグループで指導。ほとんどの難症例を治療することができます。
院外ではプライベートのSNSで国民に向けて歯に関する情報を発信し続けており、遠方からのご来院もいただいております。詳しい院長紹介はコチラ
症例No1298
