ダイレクトボンディング
-
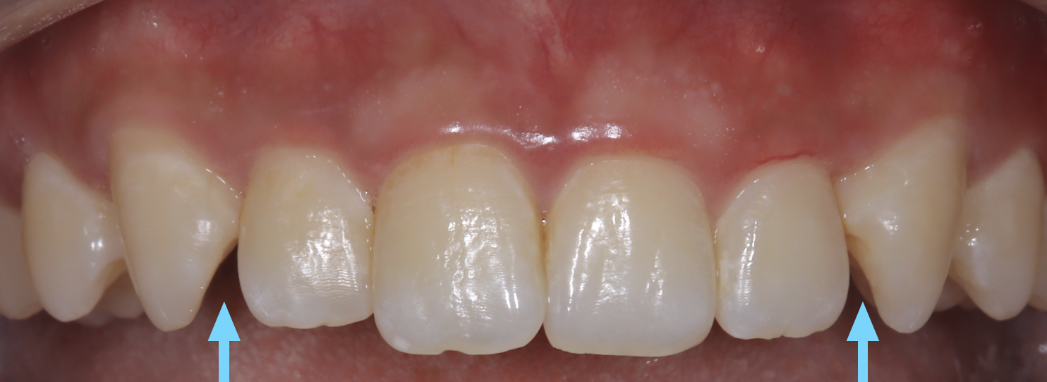
とがって、斜めにはえてることですきっ歯で攻撃的に見える八重歯を歯を削らずに治療しました✨
続きを読む-

Before
-

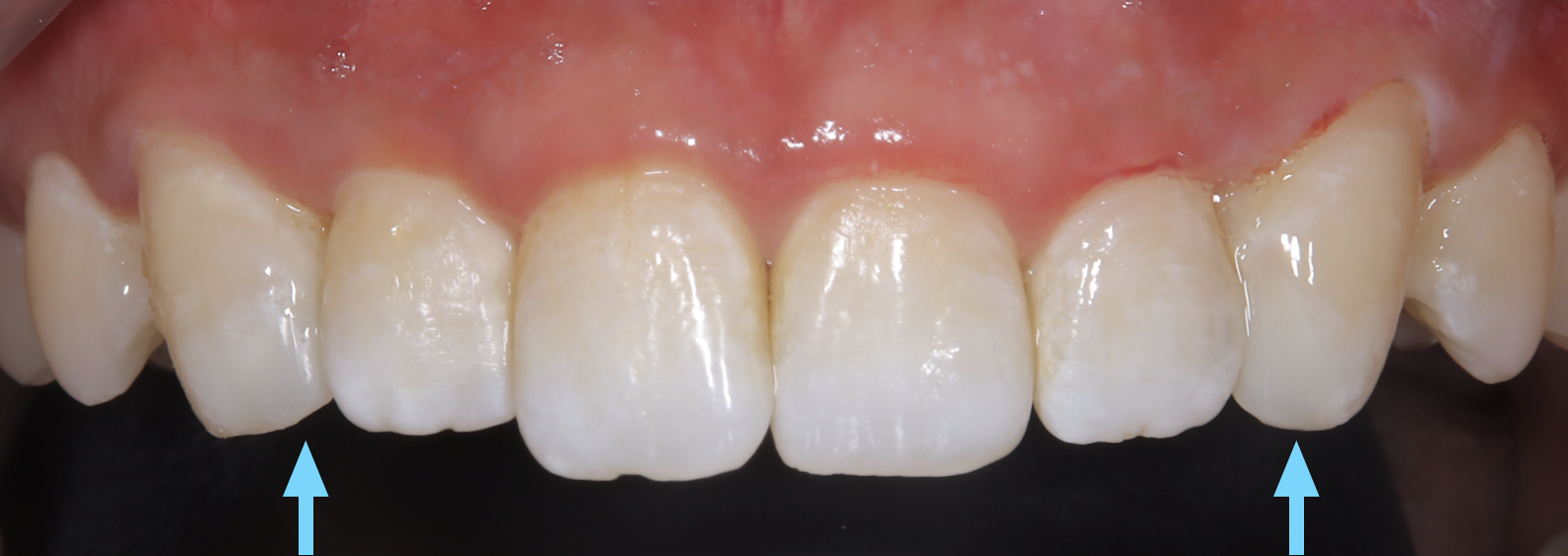
After
症例情報
症状 「とがって口撃的に見える八重歯のすきっ歯を治したい。」 年齢・性別 26歳・男性 治療期間 2週間(来院は2回) 治療方法 ダイレクトボンディング(白い樹脂) 費用 ダイレクトボンディング5.5万円×2 デメリット・注意点 ダイレクトボンディングの着色のため、10年後位にやり直しの可能性がある。 -
-
広範囲のすきっ歯を歯を削らずにダイレクトボンディングで治療
続きを読む-

Before
-

After
症例情報
症状 「ずっとコンプレックスだったすきっ歯を治したい。」 年齢・性別 21歳・女性 治療期間 2週間(施術時間は2時間) 治療方法 ダイレクトボンディング(白い樹脂) 費用 ダイレクトボンディング5.5万円×4 デメリット・注意点 ダイレクトボンディングの着色のため、10年後位にやり直しの可能性がある。 -
-
ダイレクトボンディング「銀歯を白く治したい」(豊中市・32歳・女性)
続きを読む-

Before
-

After
症例情報
症状 「矯正治療が終わり、前から気になっていた銀歯を白く治したい。」 年齢・性別 32歳・女性 治療期間 1日 治療方法 ダイレクトボンディング(白い樹脂) 費用 5.5万円 デメリット・注意点 歯がしみる可能性、硬過ぎる物(氷、ナッツ類)を食べると樹脂が割れる可能性があります。 -
-
ダイレクトボンディング「すきっ歯を治したい。」(大阪府・16歳・女性)
続きを読む-

Before
-

After
症例情報
症状 上の歯の真ん中のすきっ歯(正中離開)を治療したい。学校でイベントがあるのでそれまでに短期間で治療したい。 年齢・性別 16歳・女性 治療期間 2週間(来院は2回) 治療方法 ダイレクトボンディング(白い樹脂) 費用 5.5万円×2歯=11万円 デメリット・注意点 白い樹脂が経年的に劣化、変色する可能性がある。硬過ぎる物(氷、ナッツ類)を食べるとダイレクトボンディング(白い樹脂)の部分が割れる可能性があります。 -
