白い樹脂で治療したが欠けて変色してきたのでセラミックで治療しました!
-
-

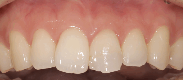
Before
-

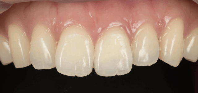
After
-
-
症例情報
症状 「白い樹脂で治療したが欠けて変色してきたのでセラミックで治療したい。」 年齢・性別 32歳・女性 治療期間 2ヶ月 治療方法 セラミッククラウン 費用 16.5〜19.8万円 デメリット・注意点 歯がしみる可能性、硬過ぎる物(氷、ナッツ類)を食べるとセラミックが割れる可能性があります。 -
白い樹脂で治療したが欠けて変色してきたのでセラミックで治療しました!

実際に治療を受けて頂いた患者様へのインタビュー
セラミック治療前

4年前に歯を机にぶつけてしまい白い樹脂で治療したが欠けてきて変色もしてきたのでセラミックで治療することになりました。
をいつも見てくださり、南巽から本町にある当院で治療することを決めてくれました。
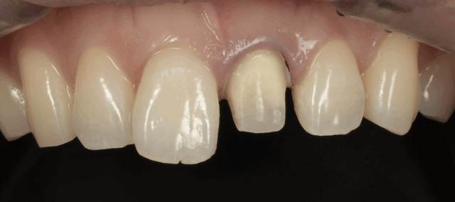
脳神経外科でも使うマイクロスコープ(顕微鏡)を使った丁寧なセラミック治療

マイクロスコープ(顕微鏡)で20倍の倍率で丁寧に歯を削ります。
セラミックの型取り

審美性にこだわっているのはもちろん、マイクロスコープなどの精密機器も当院には備えており、再発しない歯の治療にも力を入れております。
セラミック治療後

セラミック治療Before After

セラミック治療は本町ノーブル歯科 矯正歯科にお任せください。

①日本で1人 歯科医師と美容師のダブルライセンス
元美容師だからできるお顔に調和した前歯治療。
②噛み合わせ認定医
審美だけでなく機能美も追求します。
③納得いくまでとことん治療
前歯は歯科技工士が立ち合い。患者様、歯科医師、歯科技工士の3者が納得いくものを装着
・セラミック治療についての詳しい内容はこちら
・セラミック治療の症例集はこちら
・削らないラミネートベニアはこちら
・銀歯をセラミックと保存できない歯をインプラントで治療した症例はこちら
・昔に神経を取って色が変わった歯の治療はこちら
・交通事故で折れた前歯をセラミッククラウンとダイレクトボンディングで治療した症例はこちら
監修者情報

谷口 貴一 本町ノーブル歯科 矯正歯科 院長
2013年に大阪歯科大学を卒業後、兵庫県の医療法人の矯正・小児歯科クリニックと大阪歯科大学口腔インプラント科で臨床研修修了。その後1年間大阪歯科大学口腔インプラント科病院員勤務。翌年、大阪市内の医療法人にて8年間勤務。2022年7月より本町ノーブル歯科 矯正歯科開業。
保有資格
・ 美容師免許
・ 日本顎咬合学会認定医
・ インビザラインドクター年間130日以上学会やスタディーグループに参加し、現在は若手の歯科医師を自身のスタディーグループで指導。ほとんどの難症例を治療することができます。
院外ではプライベートのSNSで国民に向けて歯に関する情報を発信し続けており、遠方からのご来院もいただいております。詳しい院長紹介はコチラ
セラミック治療のご相談、ご予約はこちら
