セラミック治療について

虫歯治療だけでなく、過去に金属で修復した部分の交換、変色している歯の治療、歯並びや歯の形態の改善などの治療時に行います。
当院のセラミック治療
-
ダイレクトボンディング
ハイブリッドレジンと呼ばれるセラミックとプラスチックの中間のペースト素材を歯科医師が直接患者様の歯に詰めて、光で固める方法です。
ダイレクトレジン法やコンポジットレジン修復法とも呼ばれ、技工によるセラミックインレーに比べ、歯を削る量が少なくて済みます。
特にすきっ歯でお悩みの方や銀歯が気になる方はおすすめです。 -
-
Meritメリット
- 材料の見た目が白いため、審美性に優れている
- 虫歯部位のみ削ることから、削る量を抑えられる
- 技工物を作る必要がなく、治療が早い
-
Demeritデメリット
- 進行している虫歯により適用できない可能性がある
- 患者様のご希望や治療箇所によっては自費診療になる
- 時間の経過とともに食べ物や飲み物による着色が生じる場合がある
- 天然歯に比べて強度が劣るため、強い力が加わるとレジンが欠けたり、割れたりすることがある
-
-
費用 22,000円~55,000円(税込) 治療期間 1~3日 治療回数 1~3回 -
ラミネートべニア
前歯の表面を削り、薄いセラミック素材の技工物を貼り付けて歯の見た目を美しくする治療法です。 以前は剥がれやすいといった懸念点がありましたが、接着技術・材料が進歩してきているのでデメリットが徐々になくなりつつあります。 -
-
Meritメリット
- 短い治療期間で済む
- ホワイトニングで白くできなかった歯でも白く自然な仕上がりになる
- 治療時に前歯の隙間を整えることが可能
- 歯を削る量が少ないため、痛みもほとんどない
-
Demeritデメリット
- 破折した歯や、歯並びによっては接着できない可能性がある
- 咬み合わせが合わない、歯ぎしりなどがひどい場合、割れてしまうことがある
- 保険適用外のため、自由診療となる
-
-
費用 110,000円(税込) 治療期間 2週間 治療回数 2~3回
当院で扱っている
補綴物の種類
-
インレー
-
ゴールド(インレー)
金で作製する詰め物です。非常に高い強度を持ち、奥歯の歯が咬み合う箇所の治療にも適しています。
歯との適合性が高く加工もしやすいため、二次的な虫歯を防ぐ効果も期待できます。
人体との親和性も良く、金属ながら金属アレルギーになりにくい素材です。
しかし、金属アレルギーのリスクも否定できないため、心配な場合は検査をしてからの治療が求められます。 -
-
Meritメリット
- 二次的な虫歯の再発抑制に期待できる
- 錆びないので、長期的に使用できる
- 加工がしやすく、あらゆる歯型に対応できる
- 強度が高く、割れたり欠けたりする心配がほとんどない
-
Demeritデメリット
- 保険適用外のため、自費診療となる
- 輝きがあり、口を大きく開けると目立つことがある
- 金属に対してアレルギー反応が起こる可能性がある
-
-
費用 77,000円(税込) 治療期間 2週間 治療回数 2回 -
セラミック(インレー)
すべてセラミックの素材でできているので、金属アレルギーの心配もなく、変色の心配もありません。
また、透明感があり、天然歯に近い自然な仕上がりの歯を作製することができます。審美性に優れています。 -
-
Meritメリット
- 審美性に優れている
- 長期使用した場合でも変色に強い
- 金属アレルギーにならない
-
Demeritデメリット
- 保険適用外のため、自費診療となる
- 審美性が高いものの、金属よりも脆いため、強い力が加わると割れたり欠けたりする可能性がある
-
-
費用 77,000円(税込) 治療期間 2週間 治療回数 2回 -
スタンダードセラミック(インレー)
すべてセラミックの素材でできているので、金属アレルギーの心配もなく、変色の心配もありません。
スタンダードセラミックはオールセラミックと材料は一緒ですが、色合わせをせず、日本人で一番多い白色で作製する事でコストを抑えることができます。 -
-
Meritメリット
- 白い歯を入れることができる
- 長期使用した場合でも変色に強い
- 金属アレルギーにならない
-
Demeritデメリット
- 保険適用外のため、自費診療となる
- 審美性が高いものの、金属よりも脆いため、強い力が加わると割れたり欠けたりする可能性がある
-
-
費用 49,500円(税込) 治療期間 2週間 治療回数 2回 -
クラウン
-
ゴールド(クラウン)
金で作製する詰め物です。非常に高い強度を持ち、噛む力が強い方や、寝ている時に歯ぎしりをしている方の奥歯の治療にお勧めです。
歯との適合性が高く加工もしやすいため、二次的な虫歯を防ぐ効果も期待できます。人体との親和性も良く、金属ながら金属アレルギーになりにくい素材です。
しかし、金属アレルギーのリスクも否定できないため、心配な場合は検査をしてからの治療が求められます。 -
-
Meritメリット
- 二次的な虫歯の再発抑制に期待できる
- 錆びないので、長期的に使用できる
- 加工がしやすく、あらゆる歯型に対応できる
- 強度が高く、割れたり欠けたりする心配がほとんどない
-
Demeritデメリット
- 保険適用外のため、自費診療となる
- 輝きがあり、口を大きく開けると目立つことがある
- 金属に対してアレルギー反応が起こる可能性がある
-
-
費用 165,000円(税込) 治療期間 2週間 治療回数 2回 -
オールセラミック(クラウン)
すべてセラミックの素材でできているので、金属アレルギーの心配もなく、変色の心配もありません。
また、透明感があり、天然歯に近い自然な仕上がりの歯を作製することができます。審美性に優れているので前歯に使用されることが多い素材です。 -
-
Meritメリット
- 審美性に優れている
- 長期使用した場合でも変色に強い
-
Demeritデメリット
- 保険適用外のため、自費診療となる
- 審美性が高いものの、金属よりも脆いため、強い力が加わると割れたり欠けたりする可能性がある
-
-
費用 165,000円(税込)
※前歯は198,000円(税込)治療期間 2週間 治療回数 2~3回 -
スタンダードセラミック(クラウン)
すべてセラミックの素材でできているので、金属アレルギーの心配もなく、変色の心配もありません。
スタンダードセラミックはオールセラミックと材料は一緒ですが、色合わせをせず、日本人で一番多い白色で作製する事でコストを抑えることができます。 -
-
Meritメリット
- 白い歯を入れることができる
- 長期使用した場合でも変色に強い
- 金属アレルギーにならない
-
Demeritデメリット
- 保険適用外のため、自費診療となる
- 審美性が高いものの、金属よりも脆いため、強い力が加わると割れたり欠けたりする可能性がある
-
-
費用 110,000円(税込)※奥歯のみ 治療期間 2週間 治療回数 2回 -
ジルコニア(クラウン)
整形外科分野において義肢に使われるほど身体にやさしい素材。それがジルコニアです。
歯の本数や咬み合わせなどを問わず、さまざまな箇所に使えるのがメリットと言えます。特に奥歯など咬む力が強い場所の補綴物には、ジルコニアがおすすめです。 -
-
Meritメリット
- 白く自然な透明感があり、装着している際の違和感がない
- 金属アレルギーの心配がない
- 長期使用した場合でも変色に強い
- 金属やプラスチックよりも強度があり安心して使用できる
-
Demeritデメリット
- 保険適用外のため、自費診療となる
- 非常に硬いため、しっかり研磨しなければ噛み合う歯にダメージが起きる可能性がある
-
-
費用 165,000円(税込)
※前歯は198,000円(税込)治療期間 2週間 治療回数 2回 -
スタンダードジルコニア(クラウン)
整形外科分野において義肢に使われるほど身体にやさしい素材。それがジルコニアです。
歯の本数や咬み合わせなどを問わず、さまざまな箇所に使えるのがメリットと言えます。特に奥歯など咬む力が強い場所の補綴物には、ジルコニアがおすすめです。
スタンダードジルコニアクラウンはジルコニアクラウンと材料は一緒ですが、色合わせをせず、日本人で一番多い白色で作製する事でコストを抑えることができます。 -
-
Meritメリット
- 白い歯を入れることができる
- 金属アレルギーの心配がない
- 長期使用した場合でも変色に強い
- 金属やプラスチックよりも強度があり安心して使用できる
-
Demeritデメリット
- 保険適用外のため、自費診療となる
- 非常に硬いため、しっかり研磨しなければ噛み合う歯にダメージが起きる可能性がある
-
-
費用 110,000円(税込)※奥歯のみ 治療期間 2週間 治療回数 2回 -
メタルボンド(クラウン)
メタルボンドとは、中身は金属で、外から見える部分にのみセラミックを使用したクラウンのことを言います。
見た目が良く変色しません。強度も強いので、見た目の綺麗さや実用性を気にされる方が希望されることが多い治療法のひとつです。 -
-
Meritメリット
- 審美性に優れている
- 強度が高く、ほとんどの部位に使用できる
-
Demeritデメリット
- 角度によって、裏側からは金属が見えることがある
- 保険適用外のため、自由診療となる
- メタルボンドの内側に使用される金属に対して、まれにアレルギー反応を引き起こすことがある
-
-
費用 198,000円(税込) 治療期間 2週間 治療回数 2~3回
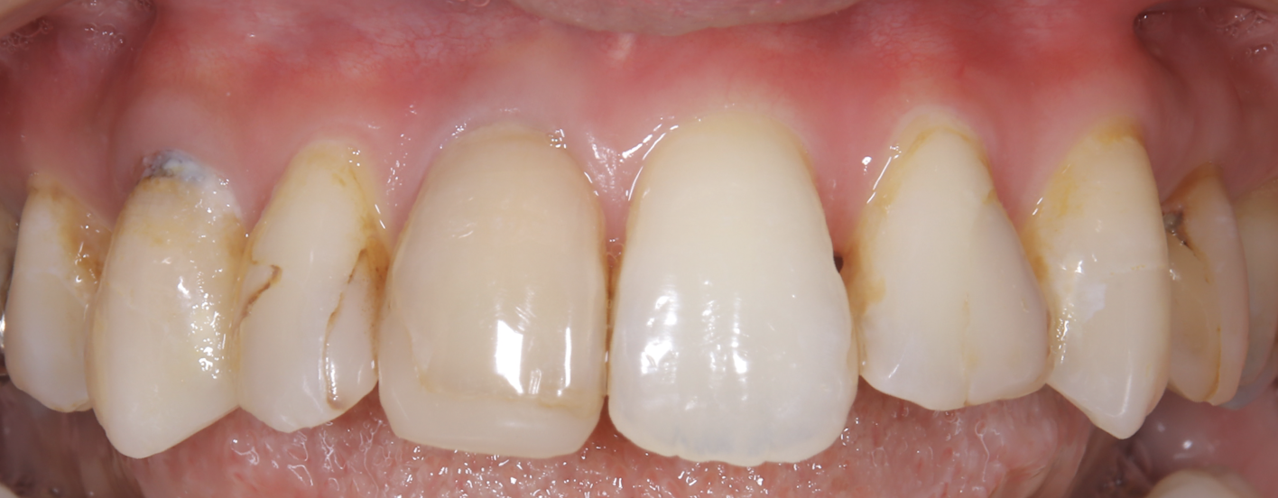
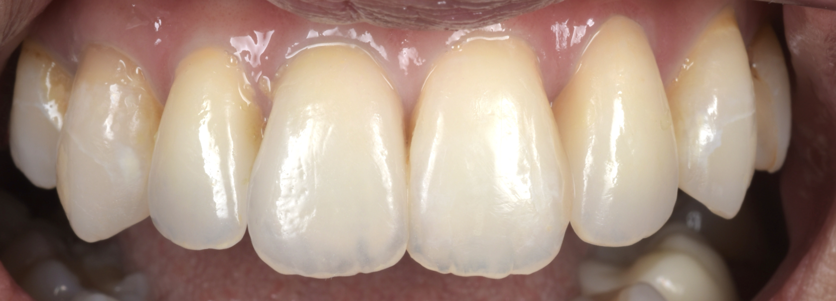
セラミックの症例紹介
セラミック治療のよくある質問
セラミックにしたら一生使えますか?
天然の歯でも欠けたり、虫歯になることがあり一生物と言えないため、セラミックも同様に一生使用できるものではありません。
セラミックの治療に保証期間などはありますか?
当院では2年間保証期間を設けています。
セラミックが変色することはありますか?
変色することはありますが、天然のご自身の歯より着色しにくいです。
どうしても治療が怖い方へ
カウンセリング時にしっかりお話をさせていただきますので、ご希望の方はお気軽にご相談ください。




















