非抜歯矯正の失敗を治していきます!!
非抜歯矯正の失敗を治していきます!!
以前、当院とは別の歯科医院さんにて矯正をしたけど自分が思うように並ばなかったとのことで、もう一度マウスピース矯正を始める患者様です。
転院時の状態

患者様は部分矯正で前歯だけを矯正治療をしました。しかし今回詳しく調べると奥歯の関係が出っ歯の噛み合わせをしていることが分かりました。奥歯の関係を治さずに前歯だけの部分矯正を行うと前歯も出っ歯になってしまいます。
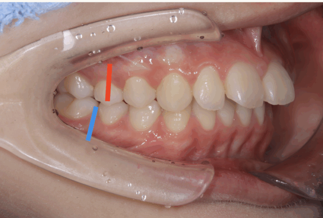
部分矯正ができる条件は奥歯の関係が良いこと

具体的に解説しますと、上の前から5番目の歯のとがっている所(赤線)と
下の前から5、6番目の歯の真ん中(青線)が一直線なのが正しいかみ合わせです。
奥歯の関係が悪い状態で矯正をすると、、、

奥歯の関係が悪いまま(出っ歯のまま)部分矯正をしても出っ歯が残ったり、不安定なかみ合わせになります。

今回の症例は赤い線と青い線が一直線ではなく、赤い線が前方にあることが分かります。つまり奥歯の噛み合わせが出っ歯です。

その結果前歯だけの部分矯正をしても前歯が噛まないくらいの重度な出っ歯になっています。

今回の矯正では上の前から4番目の歯を抜歯をして口元を凹ませます。また、今は前歯が咬んでいないので前歯と奥歯の両方を均等にしっかりと咬めるように矯正していきます。
経過、終了報告お楽しみにしていて下さい!
歯並びや咬み合わせでお悩みの方はお気軽に、本町ノーブル歯科 矯正歯科へお問い合わせください!ご来院、心よりお待ちしております😌
Instagram谷口貴一(歯医者)でメッセージでご相談(写真大歓迎!無料!)
もしくは本町ノーブル歯科矯正歯科 お電話またはホームページより、ご予約ください😊
電話番号
06−6531−8811
ワイヤー矯正について
マウスピース矯正(インビザライン)について
安い矯正治療が危険な理由5選
部分矯正するなら知らないと後悔する注意事項2点
矯正の無料相談、精密検査について
矯正適応患者様の7割は歯を抜かずに6〜9ヵ月で治ります🦷
マウスピース矯正もワイヤー矯正も本町ノーブル歯科矯正歯科にお任せ下さい!
奥歯の噛み合わせが良くて、重度の出っ歯でなければ、多くの方がマウスピースで9ヶ月以内に終わるスピード矯正の適応です。
もしも歯並びでお悩みでしたら一度無料相談をご予約ください✨
矯正治療なら症例豊富な本町ノーブル歯科矯正歯科にお任せ下さい!!
前歯がガタガタ症例

症状:ねじれた前歯がコンプレックスで上手く笑えない
年齢・性別:27歳・女性
治療期間:9ヶ月
治療方法:マウスピース矯正(インビザライン)
費用:55万円 保定装置4.4万円
デメリット・注意点:矯正中装置が擦れることによって口内炎になることがあります 。歯根吸収、歯肉退縮を起こす可能性があります 。歯が移動することで違和感や痛みを感じる場合があります。
重度八重歯症例

症状:ガタガタな歯並びを治したい、歯を長持ちさせたい
年齢・性別:37歳・女性
治療期間:2年半
治療方法:矯正治療
費用:矯正治療110万円+保定装置13.2万円
デメリット・注意点: 疼痛、顎関節症、歯根吸収、歯肉退縮の可能性がある。
出っ歯症例

症状:出っ歯を治したい、Eラインを綺麗にしたい
年齢・性別:25歳・女性
治療期間:3年
治療方法:矯正治療
費用:矯正治療110万円+保定装置13.2万円
デメリット・注意点 :疼痛、顎関節症、歯根吸収、歯肉退縮の可能性がある。
矯正+インプラント+セラミック症例

症状:ブリッジが外れた、しっかり前歯でも咬めるようになりたい、しっかり治療したい
年齢・性別:45歳・女性
治療期間:矯正治療2年 セラミック、インプラント治療2年
治療方法:矯正治療、セラミック治療、インプラント治療
費用:矯正治療110万円+保定装置13.2万円、セラミッククラウン16.5万×9本 インプラント55万×4本
デメリット・注意点 :矯正:疼痛、顎関節症、歯根吸収、歯肉退縮の可能性がある。 セラミック治療:知覚過敏、硬過ぎる物(氷、ナッツ類)を食べるとセラミックが割れる可能性がある。 インプラント治療:出血、腫脹、疼痛、内出血の可能性がある。

マウスピース矯正、ワイヤー矯正両方に対応
あなたのライフスタイルに寄り添った治療を提案
短期間で美しくスピード矯正
本町ノーブル歯科 矯正歯科なら矯正治療の7割は6~9ヶ月で治療できます
矯正、虫歯治療、抜歯を1つのクリニックで
色んな歯医者にあちこと通う必要がありません
監修者情報

谷口 貴一 本町ノーブル歯科 矯正歯科 院長
2013年に大阪歯科大学を卒業後、兵庫県の医療法人の矯正・小児歯科クリニックと大阪歯科大学口腔インプラント科で臨床研修修了。その後1年間大阪歯科大学口腔インプラント科病院員勤務。翌年、大阪市内の医療法人にて8年間勤務。2022年7月より本町ノーブル歯科 矯正歯科開業。
保有資格
・ 美容師免許
・ 日本顎咬合学会認定医
・ インビザラインドクター
年間130日以上学会やスタディーグループに参加し、現在は若手の歯科医師を自身のスタディーグループで指導。ほとんどの難症例を治療することができます。
院外ではプライベートのSNSで国民に向けて歯に関する情報を発信し続けており、遠方からのご来院もいただいております。
詳しい院長紹介はコチラ
症例No970



