大人の乳歯、先天性欠如歯の 4つの治療方法

大人の乳歯、先天性欠如歯の4つの治療方法を解説
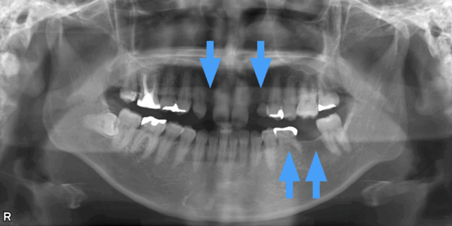
まず大人の乳歯、先天性欠如歯とは?

大人の歯は親知らず含めて全部で32本あります。
10人に1人くらいの割合で大人の歯の数が少ない方がいます。それを「先天性欠如歯」といいます。
大人の歯がないので乳歯が生えかわらず残っている事があります。それが「大人の乳歯」の原因である事が多いです。
歯にもよりますが、乳歯は35歳くらいから根っこが吸収して抜けてくる事が多いです。
今は大丈夫でも将来のことを見据えてどのような治療方法があるのか、また費用はどれくらいかかるのかを事前に知っておくことはとても大切です。
大人の乳歯、先天性欠如歯の治療方法
①インプラント

チタン製の根っこを入れ、その上に被せ物を入れる方法です。 乳歯の根っこが吸収した所に骨ができるので、骨が豊富にあることが多くインプラントの施術自体は簡単な事が多いです。 治療期間は2〜5ヶ月。費用は約44〜55万円です。
②ブリッジ

隣の歯を削って装着する被せ物です。 2本の根っこで3本分の歯の頭を補います。隣の歯を削るので歯の寿命が短くなるので最近少なくなっている治療方法です。 治療期間は1〜5ヶ月。費用は約5万〜45万円です。
③部分入れ歯

取り外しのできる装置です。治療方法としては1番簡単ですが、しっかり噛むことは難しく違和感も大きい治療方法です。また隣の歯に揺さぶりの力がかかるので経年的に隣の歯が揺れてきます。治療期間は1〜3ヶ月 。費用は約1〜20万円です。
④矯正治療

全ての患者様が適応症ではありませんが、適応症であれば全てご自身の歯で治療できますので1番良い治療方法です。治療期間は1〜3年。 費用は約88万〜110万円です。
抜けそうな乳歯を抜歯してマウスピース矯正で実際に治療した症例

矯正治療前
抜けそうな乳歯があったので乳歯を抜歯してマウスピースで矯正して治療することにしました。
矯正治療計画

検査の結果、乳歯の根っこが吸収しており近々乳歯が抜けてしまう事が分かりました。
乳歯を抜いた後にできるスペースを利用して歯のガタガタも治す治療計画をたてました。
矯正の無料相談、精密検査の詳しい内容はコチラ
マウスピース矯正開始

抜けそうな乳歯を抜歯

少し乳歯の抜歯スペースが閉じてきました

あと少しで乳歯の抜歯スペースが閉じそうです

乳歯の抜歯スペースが閉じましたので、残りは微調整です

マウスピース矯正終了

マウスピース矯正Before After

大人の乳歯、先天性欠如歯の治療は本町ノーブル歯科 矯正歯科にお任せください!!
4つ全ての治療方法ができるクリニックは多くありません!
特にマウスピースでの抜歯矯正ができるクリニックは歯科医院全体の5%以下です。
またかなりの知識と技術が必要になります。
大人の乳歯、先天性欠如歯でお悩みでしたらぜひ本町ノーブル歯科 矯正歯科にご相談ください!
今は大丈夫でも乳歯が残っている方が近くにいましたら是非情報を共有してあげて下さい。
透明のマウスピース矯正(インビザライン)についてはコチラ
ワイヤー矯正についてはコチラ
インプラント治療についてはコチラ
部分入れ歯治療についてはコチラ
ブリッジ、セラミック治療についてはコチラ
監修者情報

谷口 貴一 本町ノーブル歯科 矯正歯科 院長
2013年に大阪歯科大学を卒業後、兵庫県の医療法人の矯正・小児歯科クリニックと大阪歯科大学口腔インプラント科で臨床研修修了。その後1年間大阪歯科大学口腔インプラント科病院員勤務。翌年、大阪市内の医療法人にて8年間勤務。2022年7月より本町ノーブル歯科 矯正歯科開業。
保有資格
・ 美容師免許
・ 日本顎咬合学会認定医
・ インビザラインドクター
年間130日以上学会やスタディーグループに参加し、現在は若手の歯科医師を自身のスタディーグループで指導。ほとんどの難症例を治療することができます。
院外ではプライベートのSNSで国民に向けて歯に関する情報を発信し続けており、遠方からのご来院もいただいております。
詳しい院長紹介はコチラ



