ガミースマイル治療の仕上がりと満足度で選ぶなら本町ノーブル歯科 矯正歯科!!
-
-

Before
-

After
-
-
症例情報
症状 「ガミースマイルを治したい。」 年齢・性別 26歳・女性 治療期間 2週間(施術時間は2時間) 治療方法 歯冠長延長術(クラウンレングスニング) -
ガミースマイル治療の仕上がりと満足度で選ぶなら本町ノーブル歯科 矯正歯科にお任せ下さい!

今回は本町ノーブル歯科 矯正歯科がある大阪市西区にお住まいの患者様です😌
実際にガミースマイル治療を受けて頂いた患者様にインタビュー
ガミースマイル治療前の状態

笑うと4ミリ歯ぐきが見えるガミースマイルでした。
今回は勇気を出して顔出しモニターでガミースマイル治療をすることになりました。笑った時に3mm以上見える歯茎をガミースマイルと言います。ガミースマイルの方は全人口の10%いると言われていますので悩まれている方が意外と多いです。
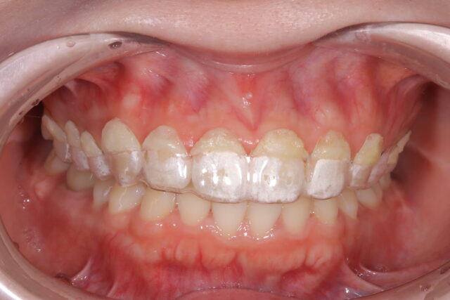
シミュレーション用マウスピース

術前にシュミレーションのマウスピースを装着し、患者様に術後の仕上がりシミュレーションを確認して頂いた後、オペに移ります。
今回は歯を本来の長さにする「歯冠長延長術」でガミースマイルを治療することにしました。
精密なCTレントゲンより本当の歯の長さを計測し、それを元にシミュレーション用マウスピースを作製しました。
治療後「歯が長くなると、変にならないのか?」そう思われる患者様が多いと思います。このシミュレーションマウスピースを見て頂くことで多くの患者様が安心して治療を受けて頂けます。
また0.1ミリ単位で作るシミュレーションマウスピースで過不足なく歯茎を切除することができます。
ガミースマイル治療直後の状態

写真はオペ直後の状態です。
本町ノーブル歯科 矯正歯科オリジナル『見えない縫合』でオペ直後から綺麗!!
術中は痛みなく受けて頂きました。
最小限の歯茎の剥離と超音波での施術でオペ後のダウンタイムを最小限にします。
(遠方の方は吸収性糸で縫いますので抜糸の必要はありません。)
ガミースマイル治療2週間後の状態

仕上がりが綺麗で痛みなくほぼダウンタイムもなかったので大満足して頂けました!
ガミースマイル治療Before After

たった2時間でガミースマイルが治りました!ガミースマイルでお悩みでしたら私たに2時間下さい!
綺麗にガミースマイルを改善します!
ガミースマイルは誰が治療するかで大きく変わります

歯冠長延長術は、オペ後もほとんど痛みなく過ごしていただけるので安心して施術を受けていただけます!
『歯肉切除術』『歯肉切除術+セラミック治療』は注意!!
『歯肉切除術』は2〜3ヶ月すれば100%後戻りします。
『歯肉切除術+セラミック治療』は生物学的に誤った治療ですのでセラミックの際の歯ぐきが赤く腫れてしまいます。
ガミースマイルでお悩みの方はお気軽に、本町ノーブル歯科 矯正歯科へお問い合わせください!ご来院、心よりお待ちしております😌
ガミースマイルについての詳しい解説はコチラ
ガミースマイル治療なら本町ノーブル歯科 矯正歯科!!
笑ったら3mm以上見える歯茎をガミースマイルと言います。
小さい時は気にならなかったけど、中学、高校の時に人に笑われて気になり、SNSでは自分の笑顔の写真をあげるのが怖い方はいませんか??
勇気を出して病院に行ったけど「外科矯正の適応症で100万円以上の費用が必要で治療期間は3年、1週間入院が必要です。」と言われて肩を落として病院から帰った経験はございませんか??
もぅガミースマイルで悩まないで下さい!!
ガミースマイルは埋もれている歯を長くする歯冠長延長術と、笑っても唇を上がらなくするリップリポジショニングで1回から3回のご来院で治療できます。
大阪以外の方でもご安心ください。zoomによるオンラインカウンセリングでご相談、診断、治療方法の提案までできます。
多くの方が「もっと早く治療しとけば良かった」とおっしゃっています。
当院のガミースマイル治療の詳細はコチラ
ガミースマイルの症例はコチラからご覧ください
ガミースマイルの治療方法のご紹介
・ 笑った時に唇がめくれ上がることでガミースマイルの方はコチラ
・ 歯が歯ぐきに埋もれていて、さらに唇が過剰にめくれ上がってガミースマイルの方はコチラ
・ インプラントを入れる位置でガミースマイルを改善した症例はコチラ
圧倒的なガミースマイル治療症例数!北海道から沖縄にとどまらず世界中から患者様がご来院✈️
ZOOMによるオンラインカウンセリングと吸収性糸で1〜3回のご来院でガミースマイルは治療できます!

患者様へのインタビュー動画200本以上🎖️
治療してご満足された患者様の声は『Instagram ガミースマイル先生 谷口貴一(歯医者)』をご覧ください!
ファッション雑誌「美人百花」「Can Cam」に掲載!

ガミースマイルは誰が治療するかで大きく変わります!!
本町ノーブル歯科 矯正歯科なら精密シミュレーションマウスピースで治療後の状態がわかります。
本町ノーブル歯科 矯正歯科オリジナルの『見えない縫合』で施術直後から綺麗!!
他院様での矯正治療後のガミースマイルの修正も承ります。

矯正治療をしてガミースマイルになってしまう事があります。また矯正治療だけでは原因によってはガミースマイルが治せない事があります。
上記の患者様は歯冠長延長術(クラウンレングスニング)で治療しました。
治療期間:2週間(施術時間は2時間)
費用:16.5万〜23.1万円
デメリット、注意点:出血、腫脹、疼痛、内出血の可能性がある矯正をした後ガミースマイルで10年間ずっと悩んでいたけど治療した症例はコチラ
矯正治療を行ったのにガミースマイルになった原因と治療方法の解説はコチラ本町ノーブル歯科 矯正歯科には管理栄養士がいますので、治療後に歯ぐきが早く治るように栄養指導も行っています。

良かったら大阪の観光と一緒にご来院ください。
梅田と難波の真ん中に当院はあります。
当院から梅田も難波も電車で5分以内の「本町」という駅の真上にあります。
患者様の半分くらいの方がガミースマイル治療と観光を楽しんでご来院して下さいます。
またUSJや歌手の大阪でのライブに合わせてご来院される方も多数いらっしゃいます。
症例紹介
最新のガミースマイル治療!! 見えない縫合と縫わない縫合!!
ガミースマイル治療『見えない縫合』でダウンタイムを限りなくゼロへ
前歯にセラミックが入っているので、セラミックを外さず治療できるリップリポジショニングで治療
監修者情報

谷口 貴一 本町ノーブル歯科 矯正歯科 院長
2013年に大阪歯科大学を卒業後、兵庫県の医療法人の矯正・小児歯科クリニックと大阪歯科大学口腔インプラント科で臨床研修修了。その後1年間大阪歯科大学口腔インプラント科病院員勤務。翌年、大阪市内の医療法人にて8年間勤務。2022年7月より本町ノーブル歯科 矯正歯科開業。
保有資格
・ 美容師免許
・ 日本顎咬合学会認定医
・ インビザラインドクター年間130日以上学会やスタディーグループに参加し、現在は若手の歯科医師を自身のスタディーグループで指導。ほとんどの難症例を治療することができます。
院外ではプライベートのSNSで国民に向けて歯に関する情報を発信し続けており、遠方からのご来院もいただいております。当院のガミースマイル治療の詳細はコチラ
ガミースマイルの症例はコチラからご覧ください
症例No1161



